جراحة اللثة

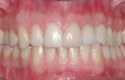
تمدد اللثة على تاج السن
وهي تحرك الكثير من اللثة على الأسنان وهنا تبدو الأسنان أقصر وهي تعرف بالابتسامة الغائرة وتعطي مظهر سيئ وتعالج عن طريق إزالة اللثة الزائدة وتغيير شكل العظام التي توجد أسفل اللثة لإعطاء مظهر أطول للأسنان.


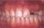
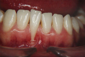
الترقيع بالأنسجة
بعد انسحاب اللثة، يكون الجذر مكشوف، وهذا يجعل الأسنان تبدو أطول والأجزاء المكشوفة هي الأكثر حساسية للمشروبات الباردة والساخنة والأطعمة الغذائية.وهناك أسباب عديدة تؤدي إلى انسحاب اللثة منها استخدام فرشاة خشنة وأيضاً تقويم الأسنان وبعض التركيبات وأمراض اللثة ووجود بعض العادات القديمة والسيئة مثل قضم الأظافر ومضغ الأقلام. والعلاج: أولاً يجب معرفة السبب والقضاء عليه ثم وضع رقعة من الأنسجة لتغطية الجذر. هذا الإجراء يقلل من انسحاب اللثة ويقلل من المخاطرة بفقد العظام حول الأسنان.
وتغطية سطح الجذر يمنع التسوس الذي قد يحدث في الجذر ويعطي شكل أكثر جمالاً. الأنسجة قد تؤخذ من الفم أو أي مكان آخر يتناسب أن يكون نسيجاً للترقيع

عملية التجديد
في هذه العملية يتم إحياء الأنسجة المتضررة من أمراض اللثة وفي بعض الحالات يتم إزالة الأنسجة المتضررة وتغطى باستخدام أغشية أو رقع من العظام أو ترقيع بالأنسجة، وهذا يحفز الأنسجة البروتينية الجديدة على التكون.


