Gum Surgery

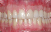
Crown Length Extension
When gums
move too much over the teeth, the teeth looks shorter. This is known as gummy
smile and gives a bad look. With crown length extension, excess gums are removed
and the underlying bone is shaped to give a longer look. It can also be used to
fix broken tooth, remove cavities or increase the resilience of the prosthesis
before restorative procedures.


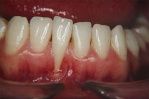
Soft Tissue Graft
After gum removal root surface is exposed. This makes the teeth look longer
and the exposed parts are more sensitive to cold and hot beverages and food.
Several reasons such as rough brushing, prosthesis, orthodontic treatment,
periodontal diseases, growing old or bad habits like nail biting, chewing pens
may cause gum withdrawal. During treatment, first the reason causing this must
be found and eliminated. Soft tissue graft are applied to cover the root surface
or increase the lost gum tissue. This procedure also decreases gum withdrawal
and bone loss risk. Covering the exposed root surfaces prevents cavities from
forming and gives a more cosmetic look. In soft tissue graft procedures, gum
tissue taken from palate or any other place is used as graft.

Regeneration
Regenerative procedures are done to revive the support tissues harmed in periodontal diseases. In suitable cases, effected tissues are removed and by using membrane, bone graft, tissue stimulating proteins new supporting tissues are formed.


